Translate this page into:
Clinicopathological audit of the placenta in fetal growth restriction
*Corresponding author: Arvind Ahuja, Department of Pathology, Atal Bihari Vajpayee Institute of Medical Sciences and Dr. Ram Manohar Lohia Hospital, New Delhi, India. drarvindahuja@gmail.com
-
Received: ,
Accepted: ,
How to cite this article: Jha T, Ahuja A, Sharma M. Clinicopathological audit of the placenta in fetal growth restriction. J Lab Physicians. doi: 10.25259/JLP_130_2025
Abstract
Objectives:
Fetal growth restriction (FGR) affects up to 15% of pregnancies in developing countries and predisposes individuals to chronic health issues in adulthood. The cause remains unexplained in many cases. This study aimed to audit histomorphological placental features to identify causes of FGR.
Materials and Methods:
A prospective, observational study was conducted over 3 years at a tertiary healthcare center in North India. Eighty-one placental specimens from FGR cases were microscopically evaluated independently by three histopathologists. Data were tabulated for analysis.
Statistical analysis:
Descriptive statistics were applied to summarize maternal, fetal, and placental findings.
Results:
The mean maternal age was 26.97 ± 4.18 years. Primigravidas accounted for 60.49% of cases. Among maternal causes, pregnancy-induced hypertension and bad obstetric history were most common (13.5% each). Absent end-diastolic flow on Doppler (11.1%) was the predominant placental finding; meconium-stained liquor (6.2%) was the most frequent fetal finding. Placenta was normal in 18.5% of cases. Maternal vascular malformations (MVMs) were observed in 22.2%, fetal vascular malformations in 14.8%, and inflammatory lesions in 17.3% of cases.
Conclusions:
The high prevalence of MVMs suggests that modifiable maternal factors significantly contribute to FGR. Placental histology helps not only in identifying etiologies but also in preventing recurrence by enabling early detection and intervention. Patient education regarding findings can encourage improved antenatal care in future pregnancies.
Keywords
Fetal growth restriction
Placenta
Pregnancy-induced hypertension
Vascular malformation
INTRODUCTION
Fetal growth restriction (FGR) is diagnosed when estimated fetal weight (EFW) or abdominal circumference (AC) is <10th percentile for gestational age, with severe FGR defined as <3rd percentile or when growth restriction coexists with abnormal Doppler velocimetry.[1] Globally, the incidence of FGR shows regional variation, with estimates ranging from 3% to 15% of pregnancies.[2] In developed countries, approximately 5–10% of pregnancies are affected by intrauterine growth restriction (IUGR), whereas in developing regions such as South Asia and sub-Saharan Africa, the prevalence can be as high as 15%. In India, the proportion of FGR pregnancies has been reported to be 54%.[1-3] These regional disparities are influenced by a multitude of factors, including maternal age, nutritional status, access to healthcare, and socioeconomic conditions.[1]
FGR is the result of a number of maternal, placental, fetal, or genetic insults.[1,4] It increases the risk of development of further fetal complications, including those associated with hypoxia, neurodevelopmental delay, low birth weight, and requirement of intensive care post birth.[5] Pregnancies complicated by FGR are associated with an increased risk of maternal complications such as preeclampsia, gestational diabetes, and placental abruption.[6] Further, it has been observed that individuals who experienced FGR in utero are at greater risk of developing chronic health conditions in adulthood, including cardiovascular disease, hypertension, type 2 diabetes, and metabolic syndrome.[5,7]
The placenta plays a unique role in providing a maternal supply of nutrients and oxygen to the fetus in utero, thus affecting its growth and viability.[8] Thus, placental insufficiency is a major cause of FGR. This may be due to a variety of other factors, many of which may be recurrent.[9] This may affect further pregnancies and, hence, must be detected and avoided. Thus, there has been increasing interest in assessing the various patterns of placental pathology in FGR patients and possibly utilising them for treatment and prevention.[10] Recent narrative reviews, notably Sun et al.[11] emphasize that abnormalities of maternal vascular malperfusion (MVM) dominate the placental phenotype in FGR.
The placenta can hold a histopathological record of all events occurring during the pregnancy, and has, hence, been described as a “black box”.[12,13] Thus, the histopathological evaluation of the placenta may provide clues regarding the pathophysiology of FGR occurring in individual pregnancies and, hence, avoid its recurrence in future pregnancies.
MATERIALS AND METHODS
This was a prospective, descriptive, and observational single-center study performed at a tertiary care teaching center in North India with approximately 8000 deliveries annually. For 3 years (January 2020–December 2022). Ethical approval was obtained from the Institutional Review Board, and written informed consent was secured from each participant before inclusion.
FGR was diagnosed in accordance with the 2019 International Federation of Gynecology and Obstetrics/International Society of Ultrasound in Obstetrics and Gynecology consensus: EFW or AC <10th percentile for gestational age, with severe FGR defined as <3rd percentile or the presence of abnormal uterine or umbilical artery Doppler velocimetry.[1] Early-onset FGR was defined as a diagnosis <32 weeks, late-onset ≥32 weeks.[1]
A minimum sample of n = 78 placentas was predetermined using Cochran’s formula (a = 0.05, power = 0.8) based on an estimated 25% prevalence of MVM lesions in FGR. To offset attrition, we targeted 90 cases; 81 placentas met eligibility and were analyzed.
A total of 81 placental specimens above 28 weeks of gestation with clinical diagnosis of FGR and confirmed by ultrasonography obtained from consenting patients and sent for routine histopathological evaluation to the department of pathology were included in this study.
Autolyzed placental specimens were excluded. Patient details, including maternal age, period of gestation (POG), ultrasound Doppler findings, presence of pre-existing maternal conditions, presence of any known placental pathology, or known fetal abnormalities, were recorded from the histopathological case record forms.
The placenta specimen was collected immediately after delivery and was transported to the histopathology laboratory in 10% buffered formalin. Placental weight and size of the disc, cords, and membranes were recorded. Inspection of the fetal surface was done for color, consistency, and translucency of the membranes. Vessels were inspected for the presence of thrombi or calcification. The presence of subchorionic fibrin plaques and deposits was noted. The umbilical cord was examined for the presence of vessels, and its point of insertion into the disc was noted. The maternal surface was examined for any significant areas of disrupted cotyledons, calcification, fibrosis, infarction, or retroplacental hematoma. Serial sectioning of the placental disc was starting from the maternal surface through to the fetal surface, looking for infarcts, hemangiomas, or other lesions, was done. After fixation, the standard grossing protocol was followed to sample the specimen.[14]
Sections (4 mm) were stained with hematoxylin-eosin and examined independently by three pathologists (blinded to clinical data). Discrepancies were resolved by joint review. Lesions were classified per the Amsterdam Placental Workshop Group criteria[15] into MVM, fetal vascular malperfusion (FVM), inflammatory lesions (chorioamnionitis, villitis of unknown etiology), delayed villous maturation (DVM), and other specific lesions. Microscopic evaluation for the presence of infarcts, calcification, hemorrhage, hyaline changes, villous changes (avascular or hypovascular villi, syncytial knots, villous fibrosis, villous edema), leukocytic infiltration, and presence of thrombi was done. The term MVM was used when retroplacental hematoma, decidual vasculopathy, DVM, and intraparenchymal hematoma were noted. FVM was used in the presence of avascular villi, villous stromal vascular karyorrhexis, occlusive and nonocclusive thrombi in fetal vessels, and chorangiomas (fetal vascular lesion). Inflammatory lesions were characterized by the presence of chorioamnionitis (maternal inflammatory response), fetal inflammatory response, villitis, intervillositis, and deciduitis. Idiopathic conditions are those in which no other abnormalities can be recognized. Gross findings were confirmed microscopically, and all observations were recorded.
The data were tabulated and analyzed using Statistical Package for the Social Sciences version 23 software. Categorical variables were expressed as percentages. Normally distributed quantitative variables were expressed as mean ± standard deviation, and non-normally distributed ones as intervals.
RESULTS
Clinical details
In our study, the maternal age of the babies born with FGR ranged from 20 to 39 years. The average maternal age was 26.97 ± 4.18. FGR babies were seen more in primigravidas (60.49%) than in multigravidas. The mean POG was 35.76 ± 2.86. More than half of the babies (56.8%) were born pre-term, with 43.2% being born at term. Breech presentation was noted in 6.17% of cases.
On the basis of clinical history, ultrasonography findings, and other hematological investigations, the causes of IUGR were divided into maternal, fetal, placental, and unknown [Tables 1-3]. Of the total, definite underlying causes of FGR could be identified in 64 cases, of which 44 cases showed only maternal causes of FGR, 10 showed only fetal causes, and 31 had only placental causes. Among these, 2 cases showed all three abnormalities, i.e., maternal, fetal, and placental, while 14 cases had maternal and placental causes, 2 had maternal and fetal causes, and 2 had fetal and placental causes simultaneously. In 17 cases, the cause of FGR remained idiopathic.
| Maternal causes | n(%) |
|---|---|
| Pregnancy induced hypertension | 11 (13.5) |
| Pre-eclampsia | 9 (11.1) |
| Gestational hypertension eclampsia | 2 (2.5) |
| Bad obstetric history | 11 (13.5) |
| Gestational diabetes mellitus | 6 (7.4) |
| Rh incompatibility | 4 (4.9) |
| Hypothyroidism | 4 (4.9) |
| Intrahepatic cholestasis of pregnancy | 3 (3.7) |
| Leakage per vaginum | 2 (2.5) |
| COVID-19 infection | 2 (2.5) |
| Chronic hypertension | 2 (2.5) |
| Syphilis | 1 (1.2) |
| Maternal active tuberculosis | 1 (1.2) |
| Chronic kidney disease | 1 (1.2) |
| Giant condyloma | 1 (1.2) |
| Upper gastrointestinal tract bleed | 1 (1.2) |
| Hyperparathyroidism | 1 (1.2) |
| Fetal causes | n(%) |
|---|---|
| Meconium-stained liquor | 5 (6.2) |
| Cardiac anomalies | 2 (2.5) |
| Congenital anomalies | 2 (2.5) |
| Bladder rupture | 1 (1.2) |
| Cephalo-pelvic disproportion | 1 (1.2) |
| Placental causes | n(%) |
|---|---|
| Absent end diastolic flow | 9 (11.1) |
| Oligohydroamnios | 7 (8.6) |
| Anhydroamnios | 6 (7.4) |
| Polyhydroamnios | 2 (2.5) |
| Placenta percreta | 2 (2.5) |
| Placental malformation | 2 (2.5) |
| Abruptio placenta | 2 (2.5) |
| Placenta accrete | 1 (1.2) |
| Placenta percreta | 1 (1.2) |
| Premature rupture of membranes | 1 (1.2) |
| Cerebroplacental insufficiency | 1 (1.2) |
| Placenta previa | 1 (1.2) |
Overall, and among the maternal causes, pregnancy-induced hypertension (PIH) and bad obstetric history (BOH) were the most common. Absent end diastolic flow (AEDF) on color Doppler evaluation was the most common underlying placental cause, and meconium-stained liquor (MSL) was the most common fetal finding.
Placental histopathological findings
The placental weight ranged from 154 g to 700 g, with the average weight being 367.86 g. Only 3.7% (3/81) of cases had a placental weight <200 g. A single diamniotic dichorionic placenta was received. Eccentric insertion was noted in 52 (64.19%) of the 81 cases. The histopathological findings of the placentae [Figures 1 and 2] observed are summarized in Table 4. The placenta was found to be normal in 15 (18.5%) cases. MVM was seen in 18/81 cases (22.2%), FVM in 12/81 (14.8%) cases, and inflammatory lesions were seen in 14/81 cases (17.3%). None of the cases of gestational diabetes mellitus (GDM), PIH or rhesus incompatibility showed either FVM or MVM.

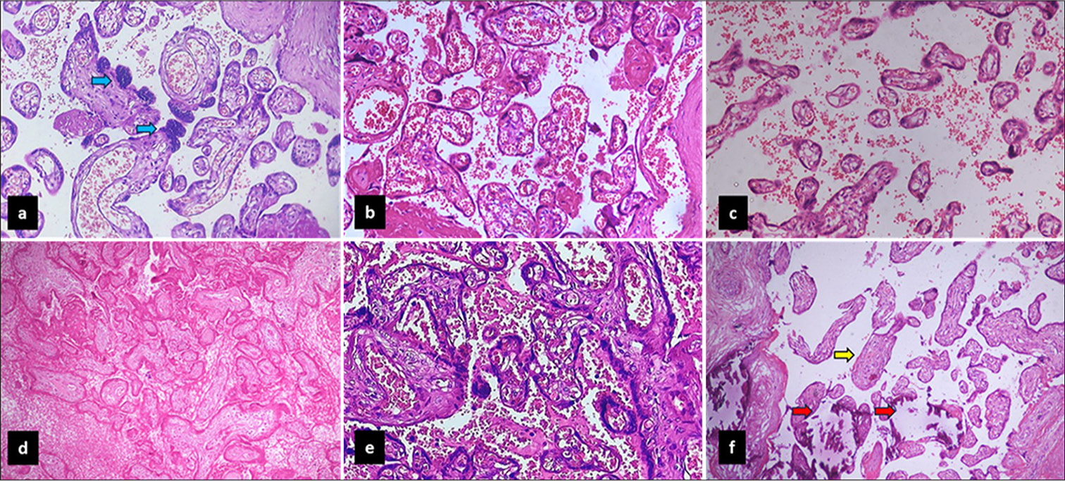
- Photomicrographs of H&E sections from placenta showing a- prominent syncytial knots (blue arrow) (400x), (b) chorangiosis (200x), (c) decreased number and vascularity of villi (200x), (d) infarct (100x), (e) prominent syncytial knots and intervillous hemorrhage (200x), (f) fibrotic villi and calcification (yellow arrow, black arrow) (200x).

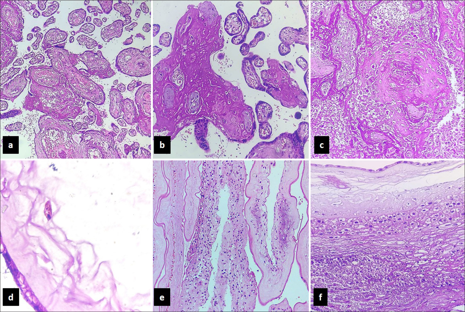
- Photomicrographs of H&E sections from placenta showing (a and b) fibrotic villi with perivillous fibrin (200x and 400x), (c) infarct (200x), (d)-meconium macrophage (400x) and (e) and f-chorioamnionitis (200x and 400x).
| Microscopic findings | Number of cases | Percentage of cases |
|---|---|---|
| Villous parenchyma | ||
| Fibrotic villi | 29 | 35.8 |
| Perivillous fibrin deposition | 24 | 29.6 |
| Prominent syncytial knots | 24 | 29.6 |
| Calcification | 23 | 28.4 |
| Intervillous hemorrhage | 13 | 16 |
| Infarct | 11 | 13.6 |
| Necrosis | 6 | 7.4 |
| Hypovascular villi | 6 | 7.4 |
| Ectatic blood vessels | 5 | 6.2 |
| Increased vascularity (chorangiosis) | 5 | 6.2 |
| Vascular narrowing | 4 | 4.9 |
| Decreased number of villi | 4 | 4.9 |
| Distal villous hypoplasia | 2 | 2.5 |
| Villitis | 2 | 2.5 |
| Avascular villi | 2 | 2.5 |
| Stromal fibrosis | 2 | 2.5 |
| Crowding of villi | 1 | 1.2 |
| Accelerated villous maturation | 1 | 1.2 |
| Obliteration of intervillous space | 1 | 1.2 |
| Stromal edema | 1 | 1.2 |
| Hyalinized villi | 1 | 1.2 |
| Membranes | ||
| Subchorionitis/chorionitis (Stage 1) | 7 | 8.6 |
| Grade 1 | 5 | 6.2 |
| Grade 2 | 2 | 2.4 |
| Chorioamnionitis | 10 | 12.3 |
| Stage 2 | 9 | 11.1 |
| Grade 1 | 7 | 8.6 |
| Grade 2 | 2 | 2.5 |
| Stage 3 | 1 | 1.2 |
| Grade 1 | 0 | 0 |
| Grade 2 | 1 | 1.2 |
| Fibrinoid deposit/plaque | 3 | 3.7 |
| Thrombosis | 2 | 2.5 |
| Ischemia | 1 | 1.2 |
| Necrosis | 1 | 1.2 |
| Meconium macrophages | 1 | 1.2 |
| Other features | ||
| Retroplacental hematoma | 5 | 6.2 |
| Fetal surface hematoma | 3 | 3.7 |
| Deciduitis | 2 | 2.5 |
| Subchorionic hematoma | 1 | 1.2 |
| Supernumerary blood vessels | 1 | 1.2 |
Six placentas met the early-onset FGR criterion (mean gestational age 29.7 ± 1.2 weeks). Mean trimmed placental weight was 143 ± 77 g. Two-thirds of the cases (4/6; 66.7%) had a recorded maternal clinical factor (e.g., pre-eclampsia or chronic hypertension), one-third (2/6; 33.3 %) showed a coded placental complication (e.g., abruptio placentae), and no fetus-specific complications were documented. Histologically, all early FGR placentas displayed widespread MVP signatures-macro-/micro-infarction, retro-placental hemorrhage, heavy intervillous/perivillous fibrin deposition, and accelerated villous maturation–with universal (>90%) prominence of syncytial knots and distal villous hypoplasia. Seventy-five placentas fell into the late-onset group (mean gestational age 36.3 ± 1.1 weeks). The mean placental weight was slightly higher at 165 ± 102 g. A maternal contributing condition was present in just over half the cohort (41/75; 54.7%), fetus-centered factors in 10/75 (13.3%), and placental complications in 29/75 (38.7%). Histopathology again revealed a high burden of malperfusion lesions– intervillous/perivillous fibrin, infarcts, syncytial knotting–but with greater morphological heterogeneity; inflammatory lesions (villitis/chorioamnionitis) and calcification were more frequently recorded than in the early group.
DISCUSSION
FGR can occur due to complex interactions between maternal, fetal, and placental factors.[1] The placenta is a readily available organ and is also viable for long periods.[13] However, paradoxically, placental features in IUGR are still relatively poorly evaluated and understood. In our study, we evaluated the histopathological features of the placenta in FGR cases in light of the clinical details of the pregnancy and the maternal, fetal, and placental features in these cases.
Increased risk of FGR is seen in advanced maternal age, presence of chronic maternal illness, low pre-pregnancy body mass index, poor socioeconomic status, and multiple gestations, which are all usually associated with poor maternal nutritional status.[16,17] Among chronic maternal illnesses, hypothyroidism, overt diabetes, anemia, hypertension, and pre-eclampsia are important risk factors.[18]
In our study, the majority of FGR pregnancies had pre-term delivery, which is similar to the findings of Thekkedathu.[18] The mean POG observed in our study was 35.6 weeks, while that observed by Thekkedathu et al. was 34.3 weeks.[18] Our findings are also similar to those observed by Gunyeli et al.[19] FGR was more commonly observed in primigravidas than in multigravidas in our study. This is similar to the findings observed by Shinde et al.[20]
The mean placental weight found in our study was 367.86 g, and most cases showed eccentric insertion of the cord (64.2%), which is similar to the findings reported by previous studies.[20]
Placental pathology in maternal causes
A total of 44 of 81 cases showed only a maternal cause for FGR. These included cases in which the same patient had several varying predisposing factors, for example, there was one case of BOH associated with Rh incompatibility, one case of BOH with GDM, and another with BOH with GDM and gestational hypertension (GHTN). Also noted were cases with intrahepatic cholestasis of pregnancy (IHCP) and gestational hypothyroidism, and IHCP with thrombocytopenia and systemic lupus erythematosus. There was also a case of pre-eclampsia with hyperparathyroidism, hypothyroidism, and vitiligo.
Overall, the most common maternal causes included PIH (11/81) and BOH (11/81). Among women with PIH, preeclampsia (9/11) was more common than GHTN (2/11). In these women with PIH, 2 cases were also found to have anhydramnios, and 2 had oligohydramnios. On average, the placentae of women with PIH were smaller in size. Microscopic examination of these placentae revealed the presence of prominent syncytial knots, infarcts, calcification, occasional fibrotic villi, and ectatic blood vessels. These findings are compatible with those described in PIH placentae in previous studies.[20,21]
Of the 11 women with BOH, 2 cases were associated with GDM (of which one was also associated with GHTN), 1 case with Rh incompatibility, and a single case was also associated with the presence of polyhydramnios. All of these women were at term and were between 25 and 35 years of age. On microscopic examination, similar to previous studies, we found the presence of fibrin deposition and intervillous hemorrhage, with a few cases showing the presence of calcification, distal villous hypoplasia, prominent syncytial knots, avascular and hypovascular villi, infarcts, retroplacental hematoma, and even congested villi.[22]
Shinde et al., however, reported anemia to be the most common cause in their study; though they also found PIH to be a common cause (12%), which is similar to the 13.5% incidence in our study.[20] Furthermore, other studies conducted in India and surrounding countries have reported a higher incidence of PIH in IUGR cases.[18,23]
Of the remaining causes, GDM was the most common (6/81). Apart from the cases associated with BOH, a single case of GDM also showed the presence of placenta accreta with a bilobed placenta. Two of these cases were preterm, and the rest were term. Microscopically, they showed evidence of fibrin deposition, calcification, prominent syncytial villi, chorioamnionitis, and occasionally, congested villi with stromal edema. These findings are compatible with those reported previously.[22]
Rh incompatibility was noted in 4/81 cases, of which one case also showed the presence of oligohydramnios. In these cases, only fibrin deposition in the villi and at the membranes was noted.
Amongst cases with hypothyroidism (4/81), microscopic examination revealed fibrotic villi with prominent syncytial knots and calcification. In the single case that was associated with pre-eclampsia, fewer villi and ectatic blood vessels was also noted. Kumari et al. have reported similar findings in the placenta of mothers with hypothyroidism.[24]
Placental pathology in placental and fetal causes
AEDF was noted in 9 cases (11.1%) and was associated with fibrotic villi, intervillous hemorrhage, decreased number of villi, calcification, chorionitis, and vascular luminal narrowing. Abnormal ultrasound Doppler indices, especially AEDF, have been reported in conditions with fetal hypoxia and often lead to perinatal mortality. The histological findings associated with AEDF, as also seen in our study, could be due to a defect in terminal villous development and response to chronic vasoconstriction.[25]
Of the 81 cases with FGR, 7 cases (8.6%) showed oligohydramnios. The major microscopic features noted in these cases include fibrotic villi with focal calcification, chorioamnionitis, vascular luminal narrowing, and ischemia.
Cases with anhydramnios (6/81, 7.4%) were all at term, except for a single case, which was associated with premature rupture of membranes (PROM) and hence, also leakage per vaginum. Microscopically, they showed the presence of fibrotic villi, calcification, prominent syncytial knots, chorangiosis with congested villi, and subchorionic fibrin plaque deposition.
The incidence of oligohydramnios and anhydramnios reported by Thekkedathu was higher than that observed in our study, even though they had a smaller sample size.[18] This could be due to regional variations and other causes related to individual pregnancies, for example, the presence of PROM and leakage.
MSL was the most common fetal condition associated with these IUGR cases. MSL may occur due to placental insufficiency, maternal hypertension (including preeclampsia), oligohydramnios, maternal drug abuse, and fetal hypoxia. In our study, one case showed MSL due to bladder rupture in the fetus, and another case was associated with the presence of a low-lying placenta. Microscopically, these showed the presence of meconium macrophages in the membranes. They also showed the presence of fibrotic villi, calcification, and intervillous hemorrhage. Occasional cases showing deciduitis, chorionitis, and decreased vascularity of villi were also noted. These findings are suggestive of longstanding fetal hypoxia, which could be due to a variety of causes, including anhydramnios.
The overall histological features found in FGR placentae in our study included fibrin deposition, calcification, prominent syncytial knots, villous infarctions, inflammation, and vascular abnormalities, depending upon the underlying cause. These findings are similar to those described in previous studies.[18-20]
Most of our cases showed MVM, which is also reflective of the fact that the majority of our cases had maternal causes leading to FGR, and that PIH, which is known to cause vascular abnormalities, was a major contributor in our cases. Idiopathic cases (20.9%) formed the second largest group, indicating the need for further workup, evaluation, and research into the possible causes of FGR. Our 22% rate of MVM aligns with the 20–30% spectrum summarized by Sun et al. in their systematic overview of placental findings in FGR.[11] Shinde et al. also reported 24.6% cases in whom no identifiable cause was found, which is similar to our findings.[20] Inflammatory lesions were another leading finding; however, these were usually seen in term cases, where the FGR was not as severe as compared to those with MVM and FVM. Further, 18.5% of our cases had normal placentae, which has also been seen in previous studies. We did not find comparable studies that categorized histological lesions on the basis of FVM, MVM, inflammatory, and idiopathic in FGR cases.
In our study, placentas from early-onset FGR showed a uniform pattern of diffuse MVM, i.e., lower weight, widespread infarction, and dense intervillous fibrin. This high-MVM profile is similar to the description by Sun et al.[11] The high rate of pre-eclampsia and chronic hypertension in these mothers points to a primary maternal vasculopathy. Taken together, the data support severe placental under-perfusion – not inflammation – as the main driver when growth restriction presents before 32 weeks.
Beyond 32 weeks, the pathology broadens. MVM persists, but villitis, calcification, and focal abruptions appear more often, and placental weight rises modestly–signs of partial compensation. Only half of the mothers had hypertensive disease, suggesting that sub-clinical placental ageing and low-grade inflammation, rather than overt vasculopathy, precipitate late-onset growth restriction. Sun et al. reached a comparable conclusion.[11] Clinically, early FGR warrants intensive Doppler surveillance, whereas late-onset disease may need a combined Doppler-plus-biomarker approach.
The major limitation of our study was the lack of clinical details in a few patients due to incomplete filling of the histopathological requisition form, and the lack of follow-up of these patients due to the outbreak of the COVID-19 pandemic during the study. Our sample size was also limited due to the restriction of the patient population at our center, as it was converted into a partially dedicated COVID-19 center.
CONCLUSIONS
With a detailed histopathological evaluation of the placenta, clues regarding the causation and progression of FGR can be detected. In our study, maternal causes were found to be the most common cause of FGR, with PIH being a major contributor along with BOH, whereas AEDF and oligohydramnios are major placental contributors. They are associated with histopathological placental lesions that often cause vascular insufficiency and abnormal fetal development, ultimately leading to FGR. Predominance of MVMs in our study points toward the presence of modifiable maternal causes that can be targeted directly. An evaluation of placental features can not only identify the cause of FGR but also help prevent recurrence in the following pregnancies by allowing timely initiation of screening and management. The identification of a probable cause and patient education regarding the same may also motivate the patient to seek early and proper antenatal care in current as well as future pregnancies.
Author contributions:
TJ: Collected the data, analyzed the data and wrote the manuscript, AA, MS: Supervision, TJ: Evaluated the slides. All authors reviewed and approved the manucript.
Ethical approval:
The research/study was approved by the Institutional Review Board at Atal Bihari Vajpayee Institute of Medical Sciences and Dr. Ram Manohar Lohia Hospital, approval number 725(39/2024)/IEC/ABVIMS/RMLH/412, dated 20th June 2024.
Declaration of patient consent:
The authors certify that they have obtained all appropriate patient consent.
Conflicts of interest:
There are no conflicts of interest.
Use of artificial intelligence (AI)-assisted technology for manuscript preparation:
The authors confirm that there was no use of artificial intelligence (AI)-assisted technology for assisting in the writing or editing of the manuscript, and no images were manipulated using AI.
Financial support and sponsorship: Nil.
References
- Fetal growth restriction In: StatPearls. Treasure Island, FL: StatPearls Publishing; 2023. Available from: https://www.ncbi.nlm.nih.gov/books/nbk562268 [Last accessed on 2024 Apr 28]
- [Google Scholar]
- Intrauterine growth retardation (IUGR): Epidemiology and etiology. Pediatr Endocrinol Rev. 2009;6(Suppl 3):332-6.
- [Google Scholar]
- Intrauterine growth retardation--small events, big consequences. Ital J Pediatr. 2011;37:41.
- [CrossRef] [PubMed] [Google Scholar]
- Placental insufficiency In: StatPearls. Treasure Island, FL: StatPearls Publishing; 2022. Available from: https://www.ncbi.nlm.nih.gov/books/nbk563171 [Last accessed on 2024 Apr 28]
- [Google Scholar]
- Neonatal short-term outcomes in infants with intrauterine growth restriction. Saudi Med J. 2015;36:947-53.
- [CrossRef] [PubMed] [Google Scholar]
- Placental pathology in intrauterine growth retardation. J Pathol Transl Med. 2002;36:30-7.
- [Google Scholar]
- Intrauterine growth restriction: Antenatal and postnatal aspects. Clin Med Insights Pediatr. 2016;10:67-83.
- [CrossRef] [PubMed] [Google Scholar]
- Placental-fetal interrelationship in IUGR fetuses--a review. Placenta. 2002;23(Suppl A):S136-41.
- [CrossRef] [PubMed] [Google Scholar]
- The role of the placenta in intrauterine growth restriction (IUGR) Semin Speech Lang. 2009;213:84-8.
- [CrossRef] [PubMed] [Google Scholar]
- A study of the literature on intrauterine treatment options for chronic placental insufficiency with intrauterine growth restriction using intrauterine intravascular amino acid supplementation. Life (Basel). 2023;13:1232.
- [CrossRef] [PubMed] [Google Scholar]
- The placenta in fetal growth restriction: What is going wrong? Placenta. 2020;96:10-8.
- [CrossRef] [PubMed] [Google Scholar]
- Placental pathology and stillbirth: A review of the literature and guidelines for the less experienced. J Fetal Med. 2017;4:177-85.
- [CrossRef] [Google Scholar]
- Study of placental pathology in cases of intrauterine fetal deaths. Ann Pathol Lab Med. 2018;5:A810-7.
- [CrossRef] [Google Scholar]
- Placenta (singleton). Gross pathology manual. 2019. The University of Chicago Department of Pathology. Available from: https://voices.uchicago.edu/grosspathology/peds-perinatal/placenta-singleton [Last accessed on 2024 Apr 28]
- [Google Scholar]
- Sampling and definitions of placental lesions: Amsterdam placental workshop group consensus statement. Arch Pathol Lab Med. 2016;140:698-713.
- [CrossRef] [PubMed] [Google Scholar]
- Risk factors associated with intrauterine growth restriction: A case-control study. Cureus. 2023;15:e40178.
- [CrossRef] [Google Scholar]
- Intrauterine growth restriction and its associated factors in South gondar zone hospitals, Northwest Ethiopia, 2019. Arch Public Health. 2020;78:89.
- [CrossRef] [PubMed] [Google Scholar]
- Maternal and placental risk factors associated with intrauterine growth restriction and the perinatal outcomes. J South Asian Feder Obst Gynae. 2015;7:176-81.
- [CrossRef] [Google Scholar]
- Histopathological analysis of the placental lesions in pregnancies complicated with IUGR and stillbirths in comparison with noncomplicated pregnancies. J Turk Ger Gynecol Assoc. 2011;12:75-9.
- [CrossRef] [PubMed] [Google Scholar]
- Placental pathology in intrauterine growth retardation. Indian J Pathol Oncol. 2020;7:550-5.
- [CrossRef] [Google Scholar]
- Morphological and histological variations of human placenta in hypertensive disorders of pregnancy. Int J Anat Res. 2017;5:3591-8.
- [CrossRef] [Google Scholar]
- Clinical correlation with pathology of placenta in medical disorders of pregnancy and its comparison in normal pregnancy. Int J Reprod Contracept Obstet Gynecol. 2016;6:127-33.
- [CrossRef] [Google Scholar]
- Risk factors for intrauterine growth restriction: 9 years analysis in tertiary care hospital. J BP Koirala Inst Health Sci. 2019;2:77-82.
- [CrossRef] [Google Scholar]
- Morphological and morphometric evaluation of placenta in hypothyroid mothers. Astrocyte. 2016;3:19.
- [CrossRef] [Google Scholar]
- Placental pathology in early-onset and late-onset fetal growth restriction. Fetal Diagn Ther. 2014;36:117-28.
- [CrossRef] [PubMed] [Google Scholar]
